Phẫu thuật tạo hình thẩm mỹ mi mắt là các phẫu thuật nhằm phục hồi chức năng, giải phẫu của mi mắt và cải thiện các khuyết điểm của mi mắt đem lại đôi mắt khỏe đẹp.
Với đội ngũ bác sĩ được đào tạo, có chứng chỉ phẫu thuật tạo hình thẩm mỹ mi mắt, trang thiết bị phòng mổ hiện đại, hiện tại Bệnh viện Mắt Nam Định đang thực hiện các phẫu thuật tạo hình thẩm mỹ mi mắt như: Phẫu thuật sụp mi, phẫu thuật co rút mi, phẫu thuật lật mi, phẫu thuật tạo nếp mí,…
Dưới đây là một số hình ảnh bệnh nhân đã được phẫu thuật tạo hình thẩm mỹ mi mắt tại bệnh viện Mắt Nam Định:
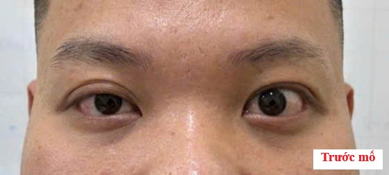
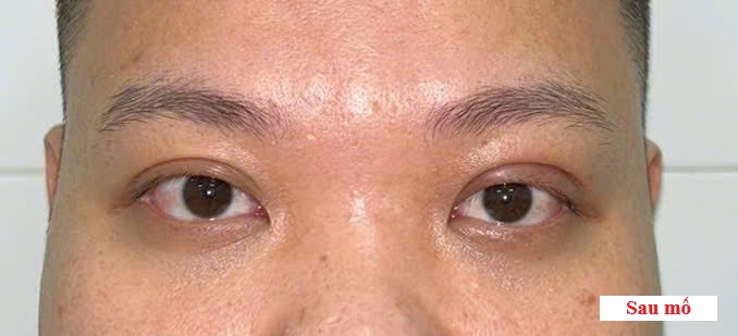
Điều trị co rút mi:


Chỉ sau 20 phút phẫu thuật, mắt phải hết trợn, 2 bên cân đối, trông hiền hơn, không sưng đau, và không có sẹo
Tạo nếp mí:


Điều trị lật mi:

Điều trị sụp mi:


